Geen financiële verrassingen Gratis eerste consult Beste behandeling

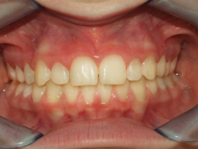
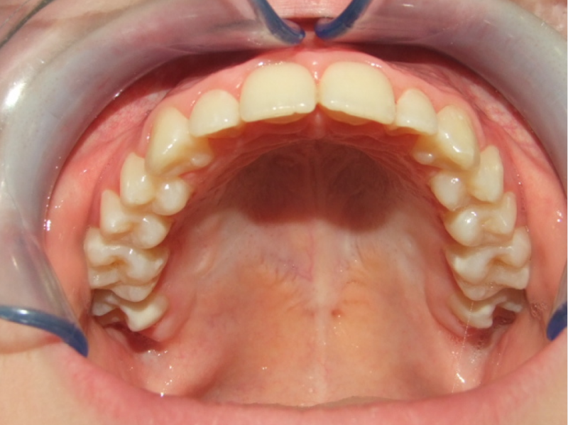
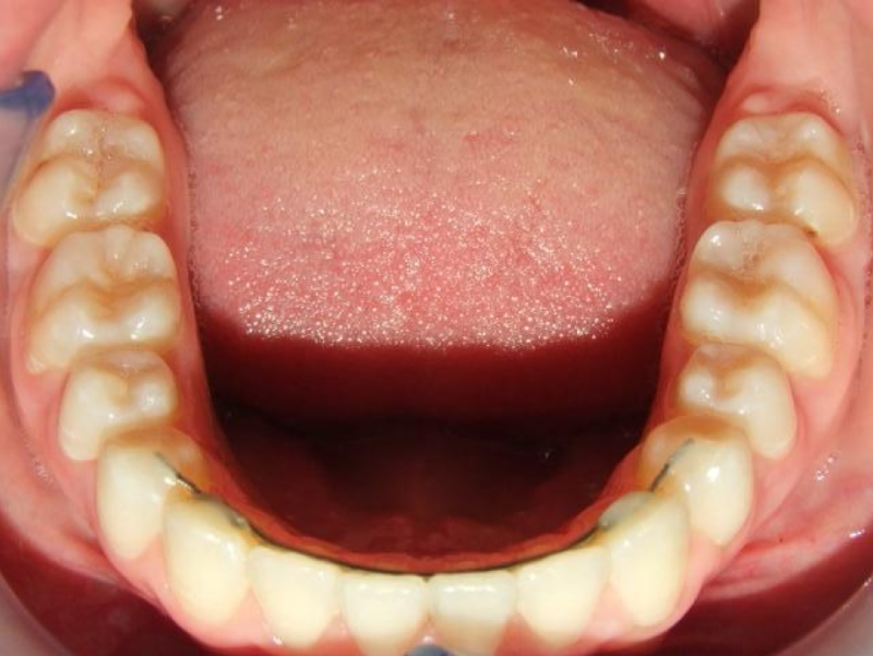
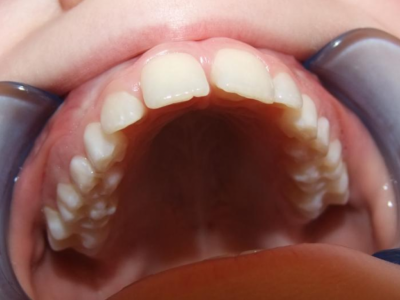
Behandeling Heleen

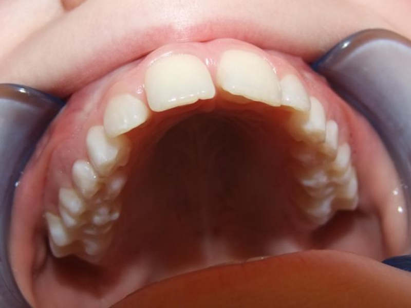
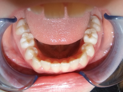
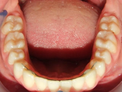
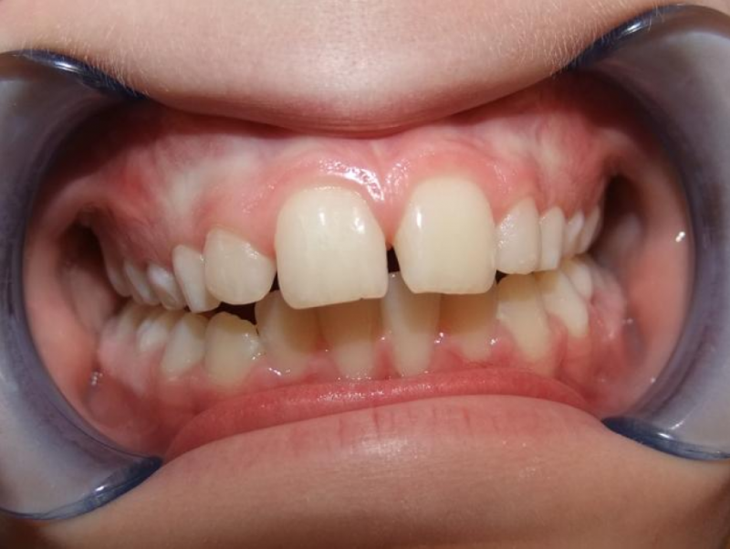
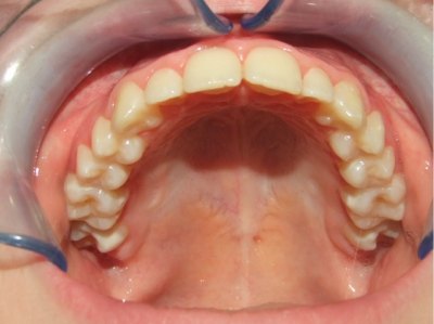
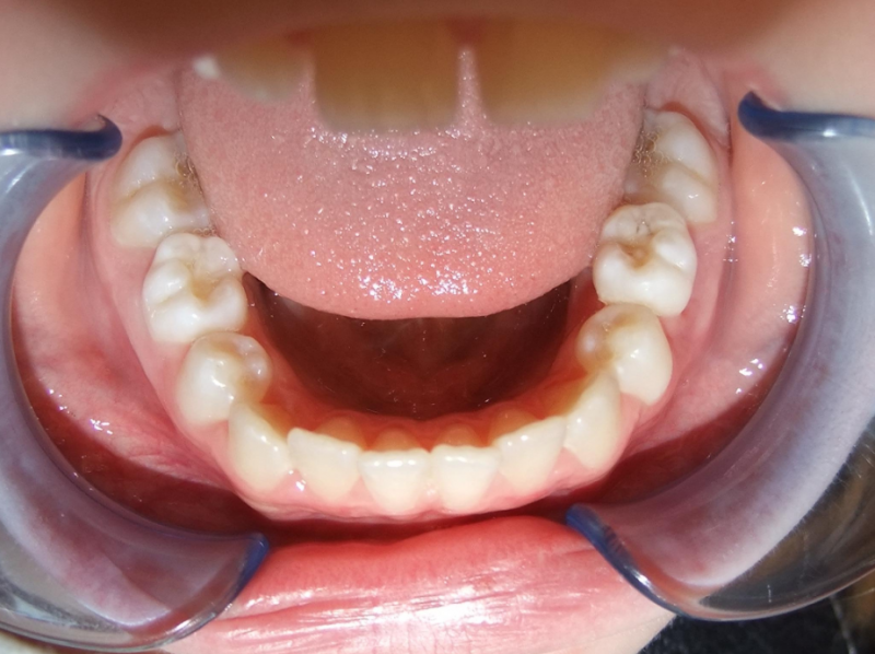
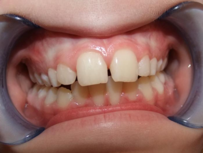
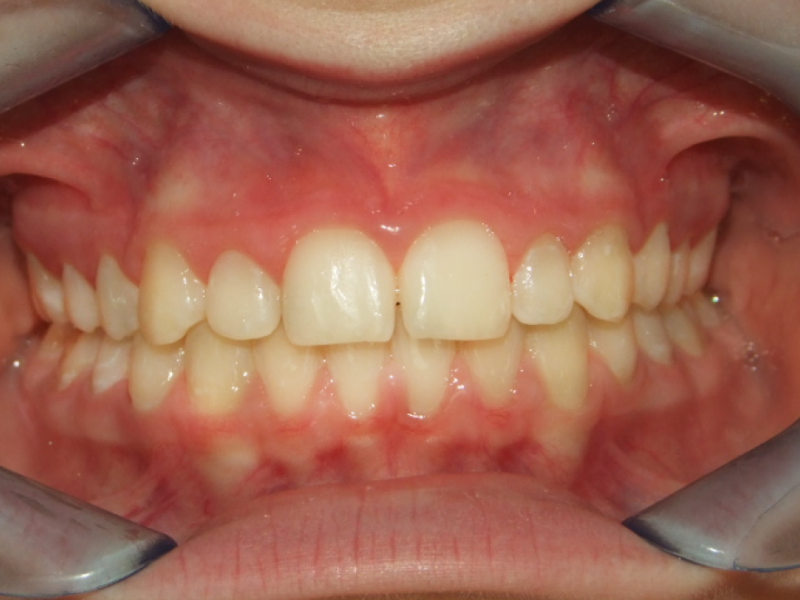
eindfoto
Duur
van 27.03-2014 tot 07.06.2016  
Beschrijving
Leeftijd bij aanvang: 9 jaar
1-6 Bonded Hyrax + volledig vast onderkaak & TransForce
7-13 Twin Block
14-26 volledig vast boven- en onderkaak + TPA
Leeftijd bij retentie: 11 jaar