Geen financiële verrassingen Gratis eerste consult Beste behandeling

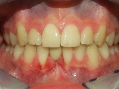
Behandeling Maarten

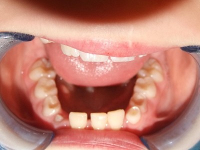
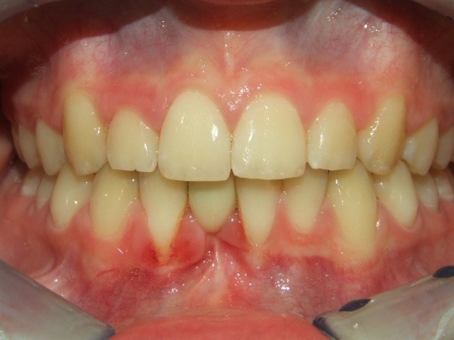
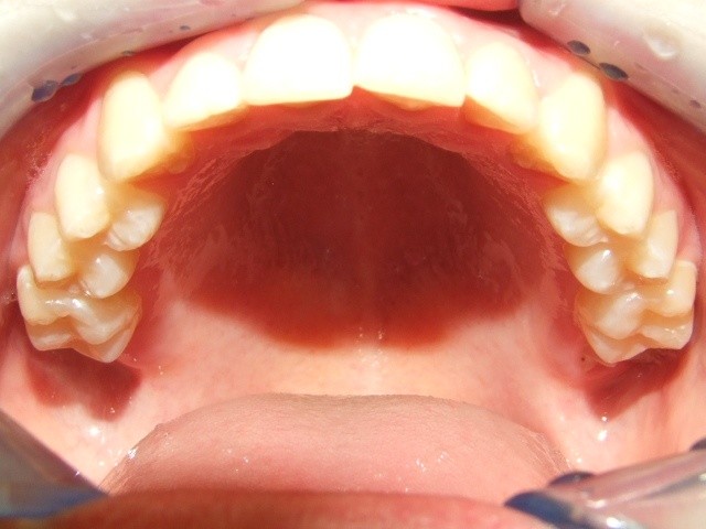
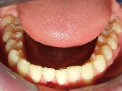
eindfoto
Duur
Actieve fase 1.9 jaar  
Beschrijving
Leeftijd bij aanvang: 10 jaar
Maand 1-6: in de bovenkaak Bonded Hyrax, Face Mask
In de onderkaak volledig slotjes/banden en TransForce
Maand 7-18: Volledig vast (brackets) bovenkaak
Retentie fase: Wrap + C-C Bar