Geen financiële verrassingen Gratis eerste consult Beste behandeling
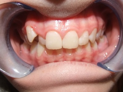
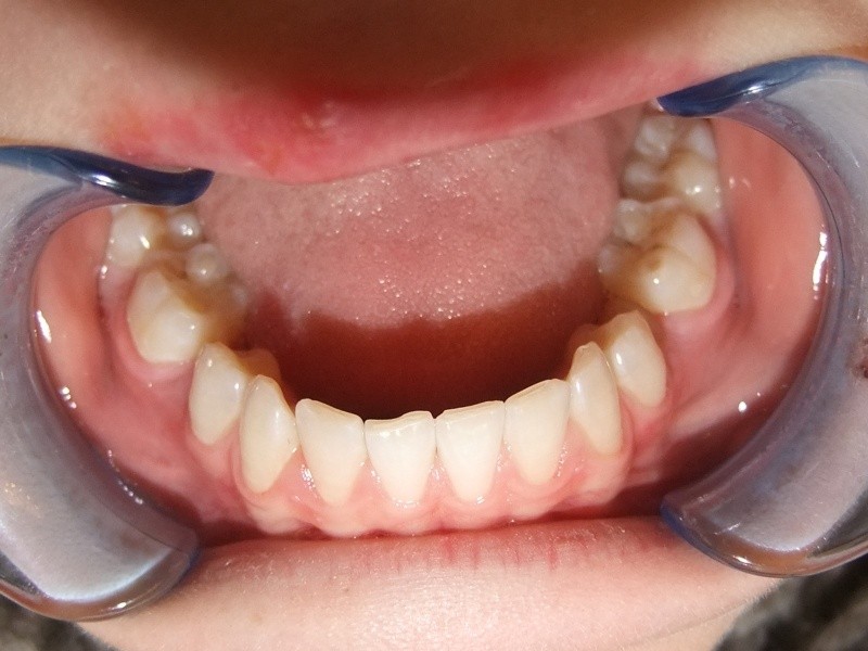
Behandeling Femke
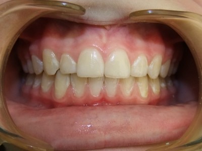
Duur
Actieve fase: 1,7 jaar
Beschrijving
Leeftijd bij aanvang: 14 jaar
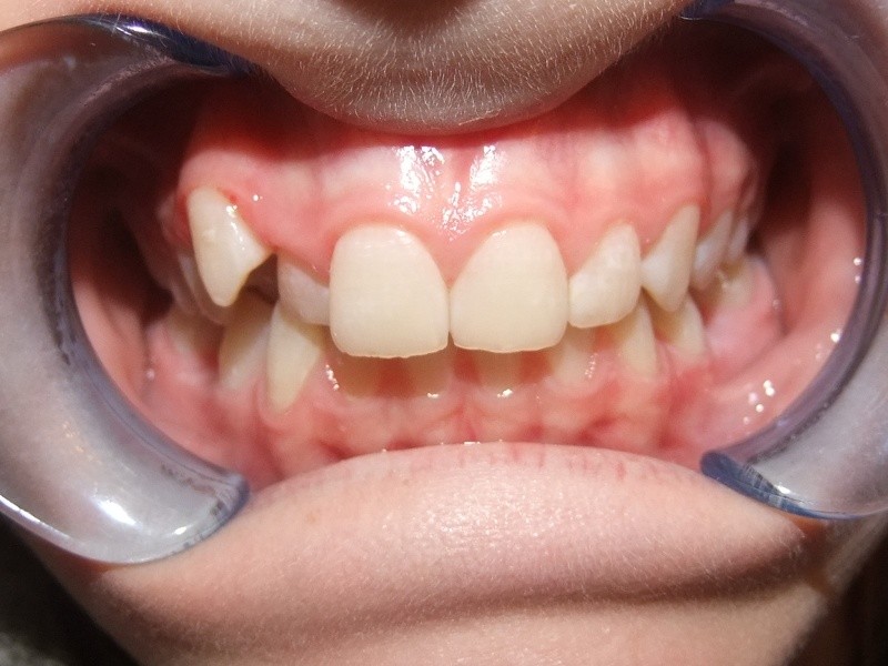
Maand 1-6: Bonded Hyrax in de bovenkaak
In de onderkaak volledig slotjes/banden en TransForce
Maand 7-19: Slotjes/banden in de boven en onderkaak met Expander
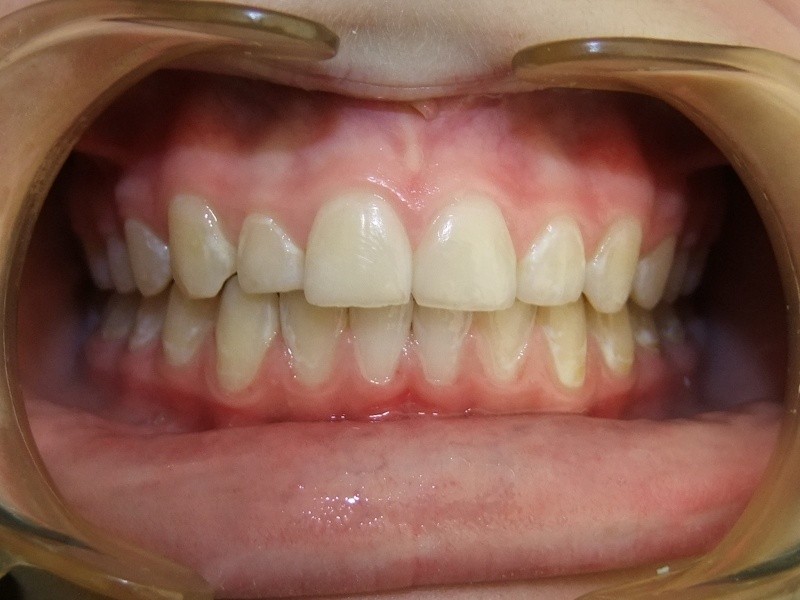
Retentie fase: Wrap en C-C- Bar
Leeftijd bij retentie fase: 15 jaar
Voor behandeling
Na behandeling
Gratis eerste consult
Groot genoeg voor innovatie, Lorem ipsum dolor sit amen, consectetur