Geen financiële verrassingen Gratis eerste consult Beste behandeling

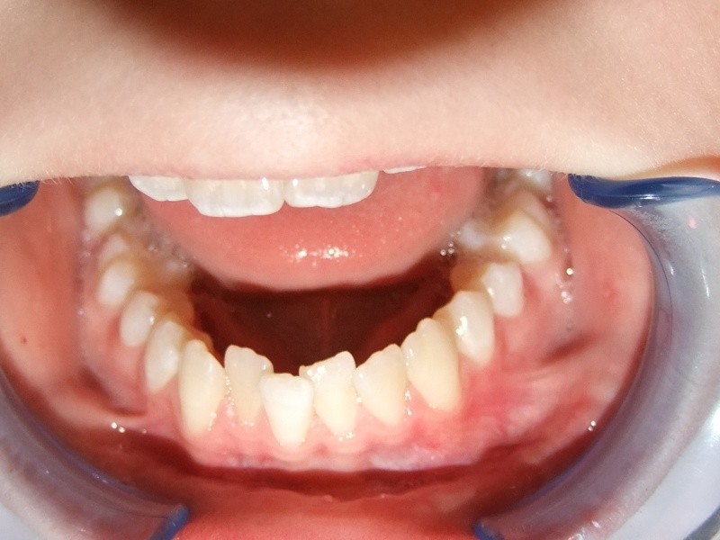
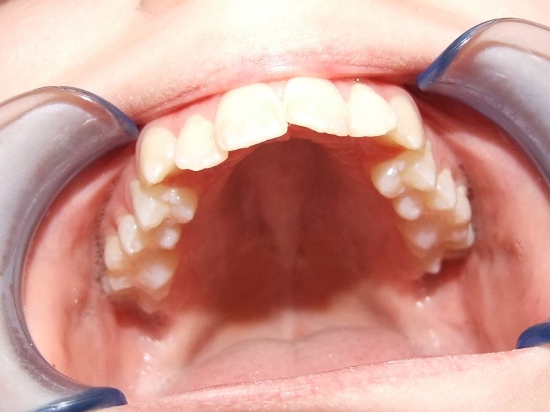
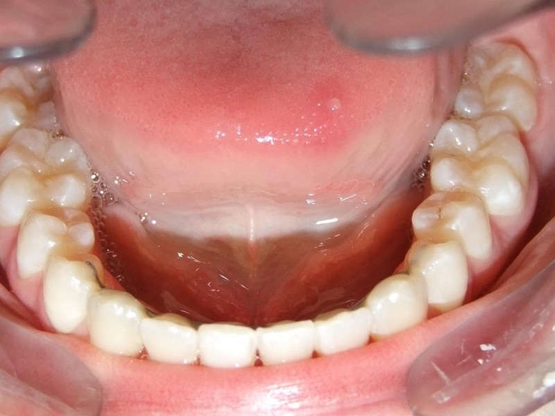
Behandeling Amber

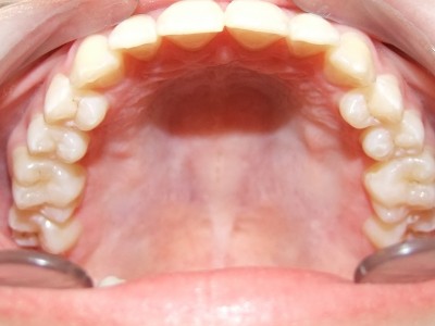
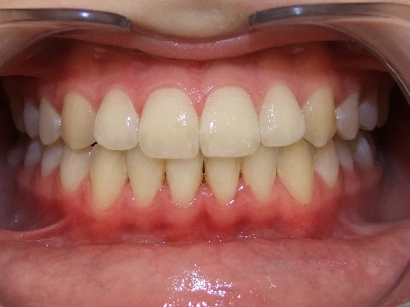
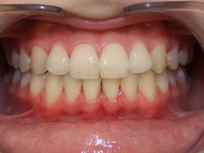
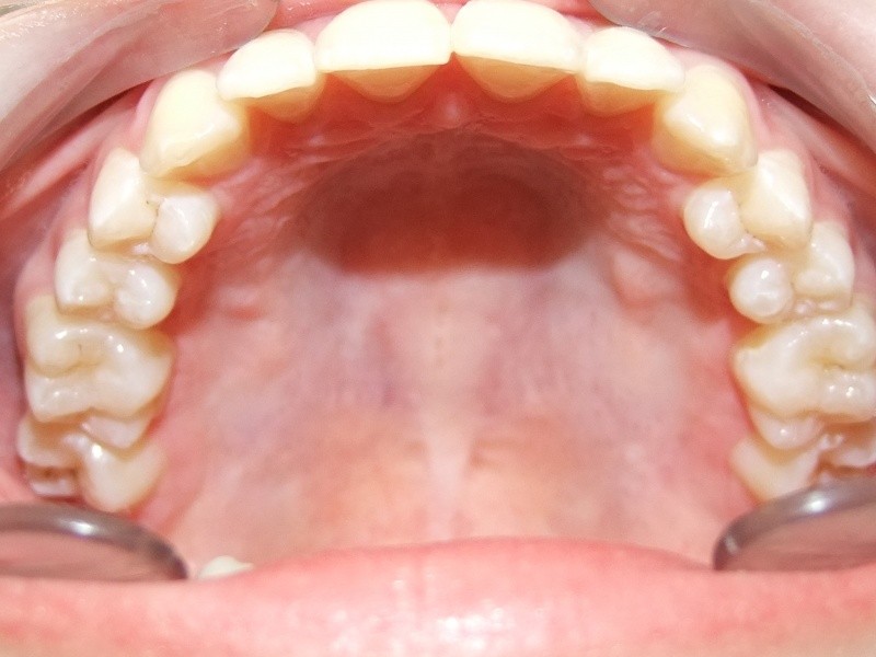
eindfoto
Duur
Actieve fase: 1,5 jaar.  
Beschrijving
Leeftijd bij aanvang: 10 jaar
Maand 1-6: In de bovenkaak Bonded Hyrax
In de onderkaak slotjes/banden en Transforce
Maand 7-18: Brackets/banden in boven en onderkaak met expander
Maand 19: Retentie fase Wrap en C-C Bar
Leeftijd bij retentie fase: 12 jaar