Geen financiële verrassingen Gratis eerste consult Beste behandeling
Behandeling Hugo
Duur
-
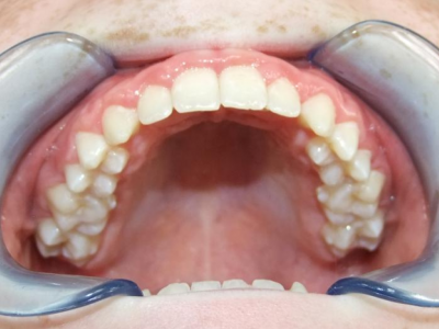
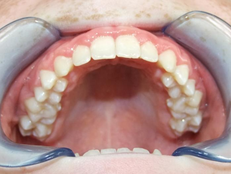
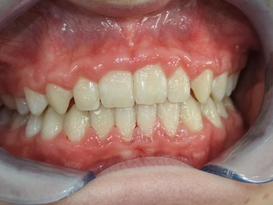
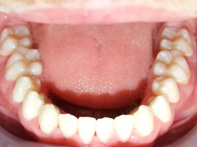
Beschrijving
Leeftijd bij aanvang: 9 jaar
1-6 Bonded Hyrax + partieel vast onderkaak + TransForce onderkaak
7-13 Twinblock
13-22 volledig vast onder- en bovenkaak + rotator
Retentie: wrap en c-c bar
Leeftijd bij retentie: 12 jaar
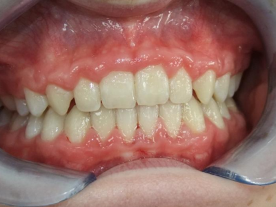
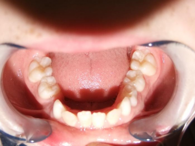
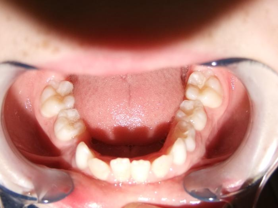
Voor behandeling
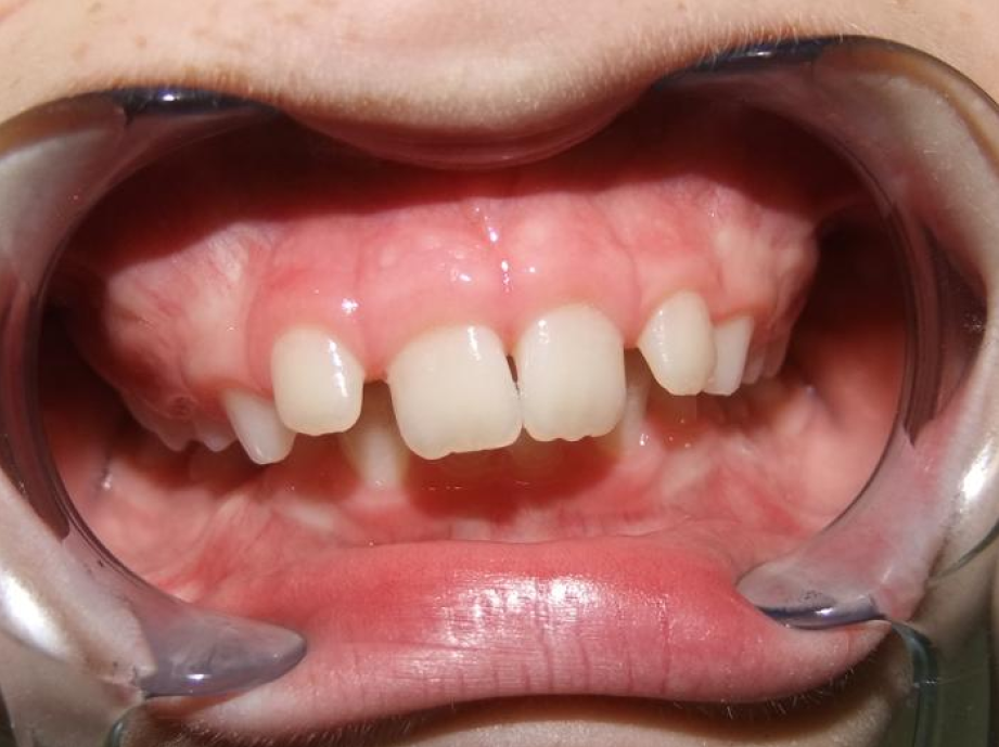
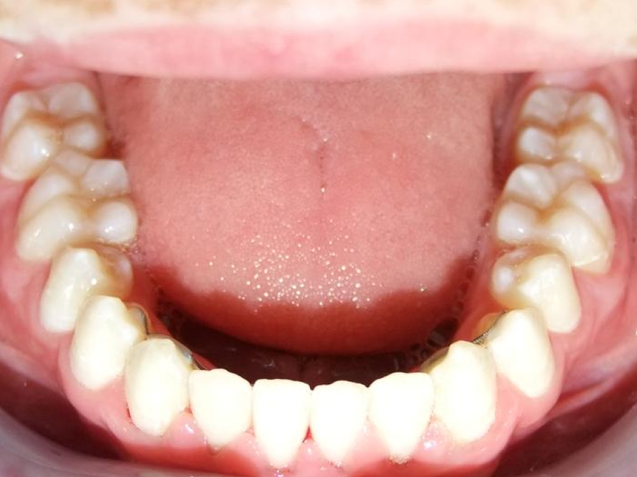
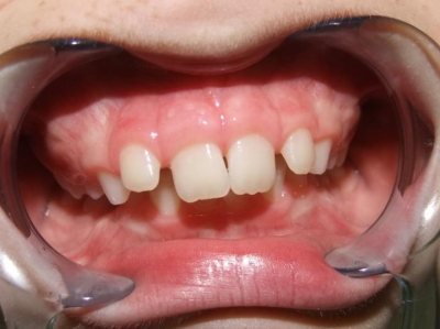
Na behandeling
Gratis eerste consult
Groot genoeg voor innovatie, Lorem ipsum dolor sit amen, consectetur