Geen financiële verrassingen Gratis eerste consult Beste behandeling

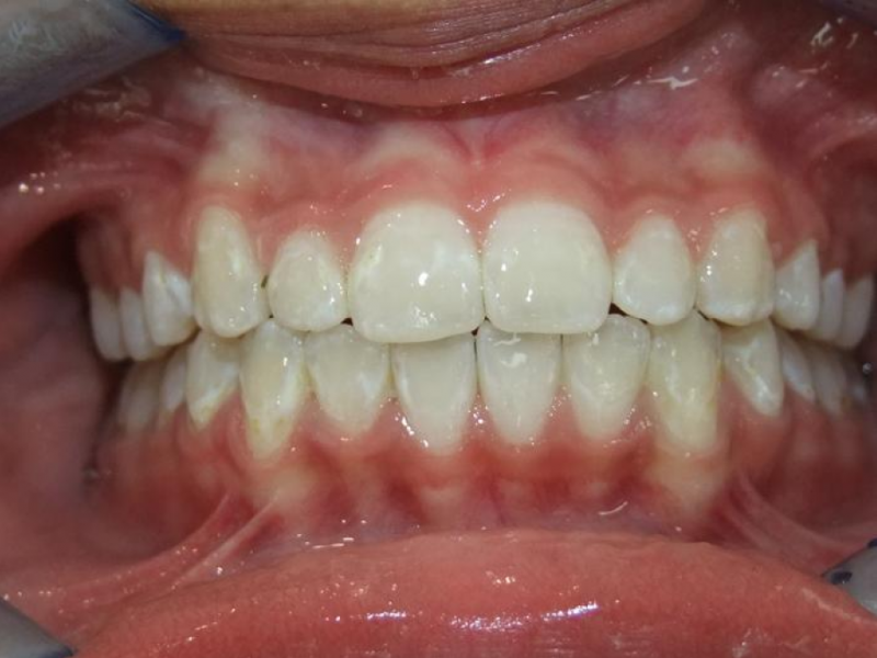
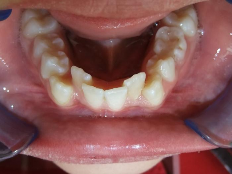
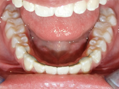
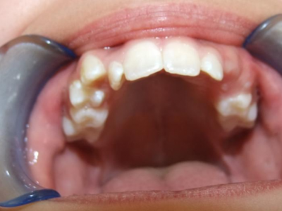
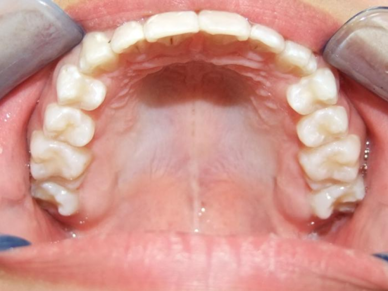
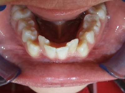
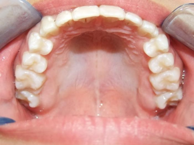
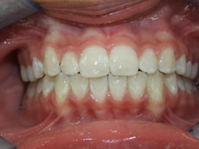
Behandeling Maud

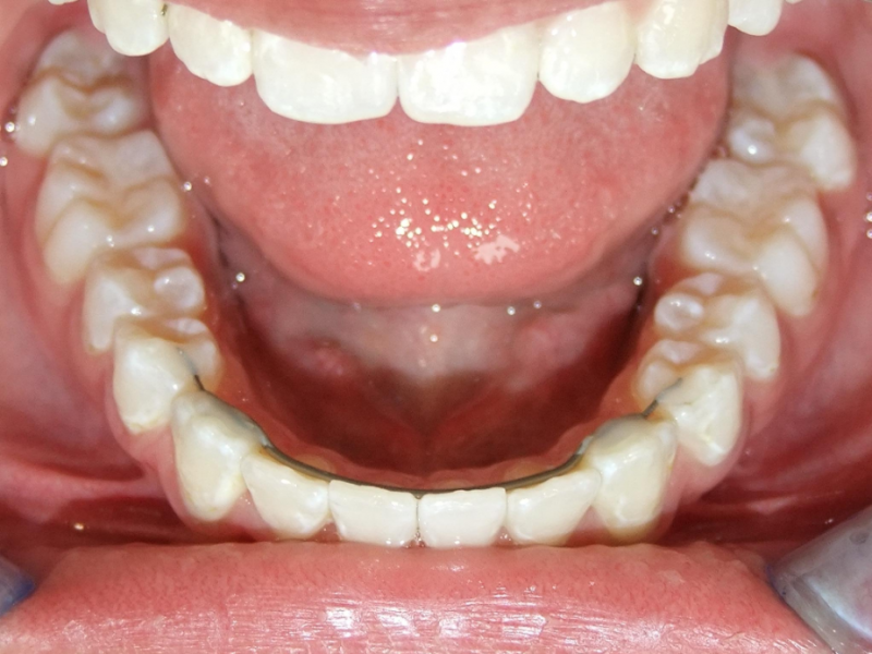
eindfoto
Duur
van 5-6-13 tot 8-11-15  
Beschrijving
Leeftijd bij aanvang: 11 jaar
Bonded Hyrax, volledig vast onderkaak & TransForce
Twinblock
Volledig vast bovenkaak + rotator
Damon + c-c bar onderkaak
Leeftijd bij afname: 13 jaar