Geen financiële verrassingen Gratis eerste consult Beste behandeling
Behandeling Nienke
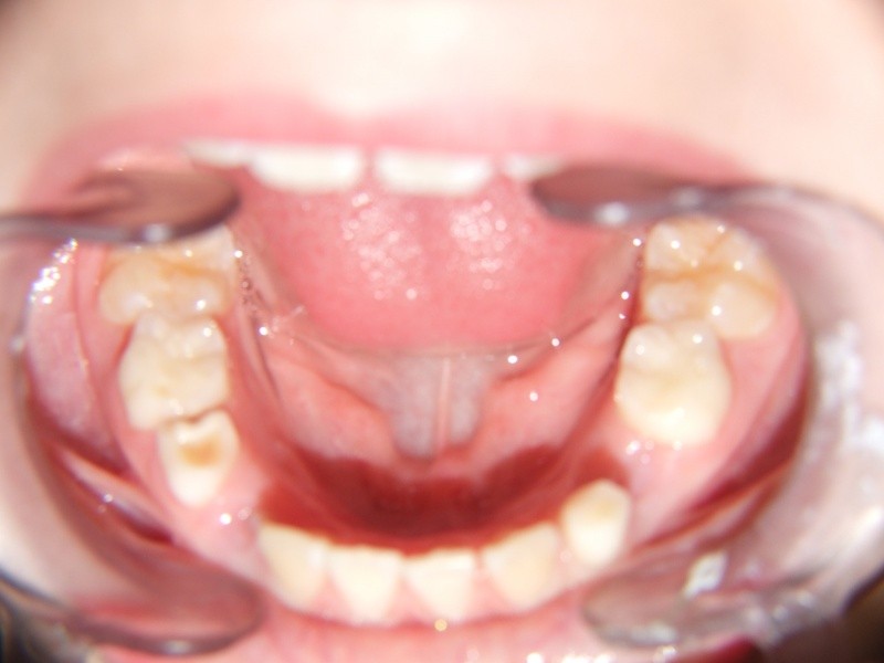
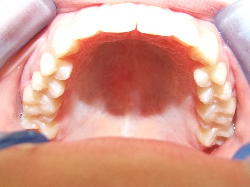
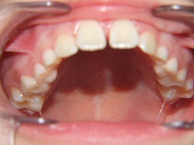
Duur
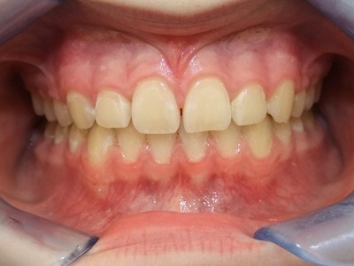
Actieve fase: 24 maanden
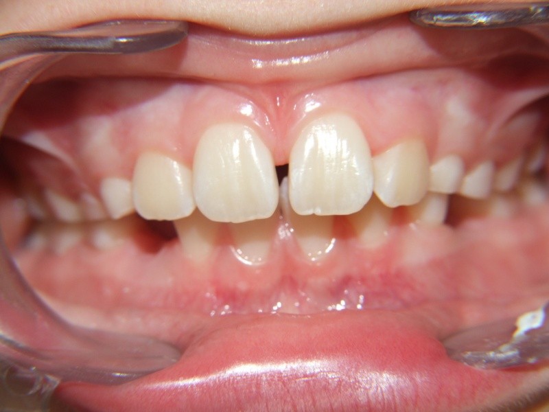
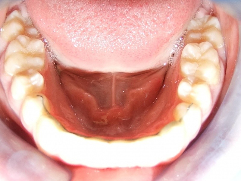
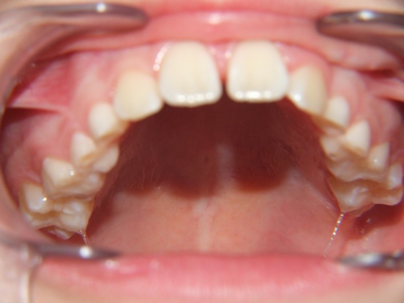
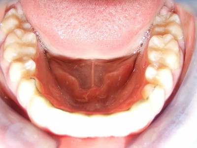
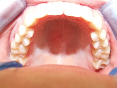
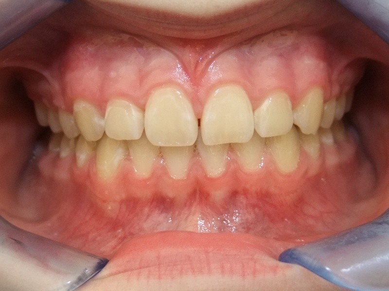
Beschrijving
Leeftijd bij aanvang: 9 jaar
1-6 maanden: Bonded Hyrax in de bovenkaak, Transforce in de onderkaak
1-14 maanden: Twinblock
15-24 maanden: Volledig banden/slotjes in de boven-en onderkaak met transforce in de bovenkaak
Retentie fase: Wrap met ramp en C-CBar
Voor behandeling
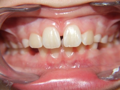
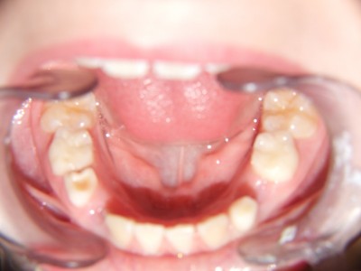
Na behandeling
Gratis eerste consult
Groot genoeg voor innovatie, Lorem ipsum dolor sit amen, consectetur