Geen financiële verrassingen Gratis eerste consult Beste behandeling
Behandeling Michiel
Duur
1,5 jaar
Beschrijving
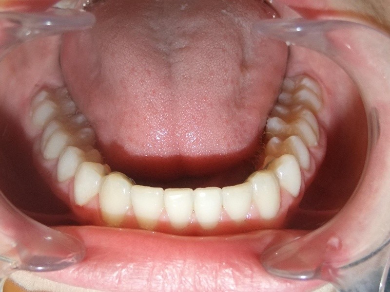
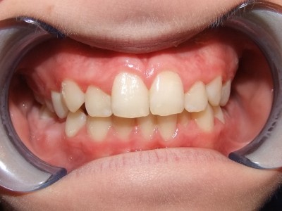
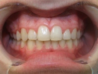
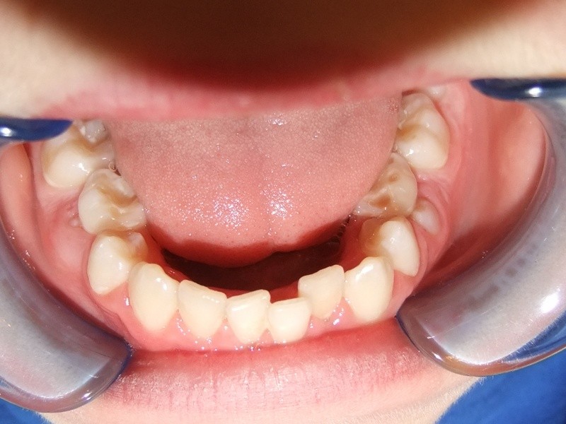
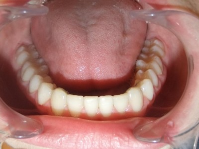
Leeftijd bij aanvang: 12 jaar
Maand 1-6: BondedHyrax, TransForce onderkaak en brackets onderkaak
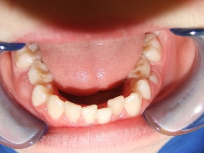
Maand 7-18: Rest vaste apparatuur (brackets)
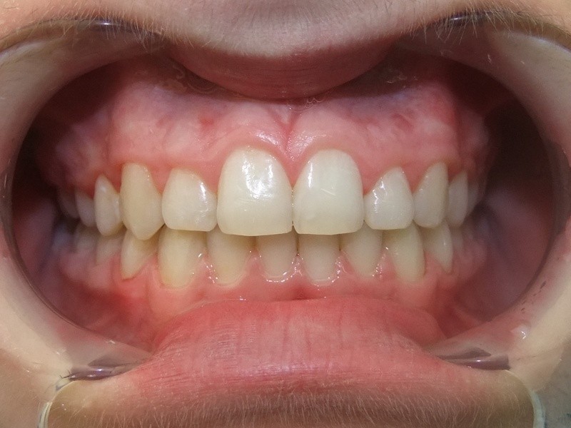
Retentie fase: vanaf 18de maand met Invisable Retainer en C-C Bar
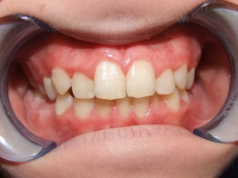
Voor behandeling
Na behandeling
Gratis eerste consult
Groot genoeg voor innovatie, Lorem ipsum dolor sit amen, consectetur